Image Duplication Detection
Automatically catch repeated or reused images to protect your manuscript’s credibility.
Why Duplication Matters
Roughly one out of every three manuscripts contains image integrity issues – many involve duplicated or reused images. These duplications distort findings, undermine trust and mislead reviewers and readers.
Data Misinterpretation
Duplicate images can distort findings and affect credibility.
Rejection or Retraction
May lead to editorial rejection before publication—or a formal retraction afterward.
Reputational Damage
Harms the credibility of authors, institutions, and journals alike.
Loss of Trust in Science
Erodes reader confidence and affects downstream research.
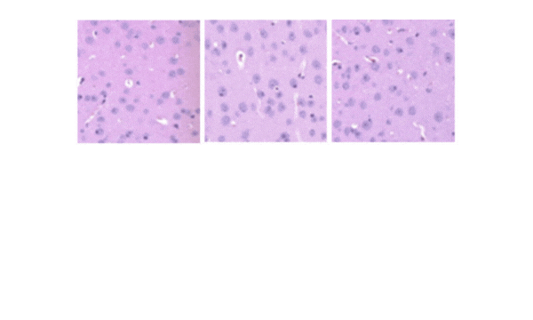
Comprehensive Detection Types
Proofig AI detects a wide range of image alterations—from straightforward edits to sophisticated, algorithmic manipulations. The examples below illustrate some of the most common categories we identify, but our system continuously evolves to capture new and emerging manipulation methods across all image types. Each detection is surfaced transparently, allowing researchers to review and interpret results with full confidence.
Scaling
Resized image presented as distinct data.
Rotation
Turned image to disguise repetition.
Flipping
Mirror image used to appear unique.
Partial Overlap
Cropped or shared region reused between images.
How It Works
Upload Your Manuscript Drag and drop your PDF or DOCX file—no formatting changes needed.
AI-Powered Analysis The system scans all images for potential issues—including duplication.
Review and Validate Check flagged items, investigate further, and decide what to include.
Download a Final ReportGet a detailed PDF report you can use to uphold research integrity within your lab or team.
Trusted by Leading Institutions and Publishers












250K+ Manuscripts
Scanned using Proofig AI to uphold research integrity
Global
Trust
Adopted by top-tier publishers, journals, and research institutions
Seamless Integration
Integrated into pre-submission and editorial screening workflows
Integrity Support
Used by researchers, editors, and ethics officers worldwide
Proofig helped us catch issues we would’ve missed entirely.
High-Impact Journal
Further Resources
The world of scientific research is evolving at an unprecedented pace. Every day, new tools and technologies emerge to address challenges in research, publication, and...
In the realm of life science research, images play a pivotal role in communicating complex data. However, the integrity of these images can sometimes be...
Plagiarism is a critical ethical violation in academia and scientific research, threatening the foundation of knowledge and credibility. While it is often associated with students...
Scientific publishing is on the cusp of significant transformation, driven by historical trends and emerging technologies. By looking back at the evolution of scientific communication...
The recent release of the AI-Generated Image Detection feature by Proofig marks a significant advancement in the field of scientific image integrity. This feature focuses...
Introduction In the realm of life science research, the publication process is a critical journey that transforms raw data into knowledge. This journey is not a...